Table of Contents
« prev
next »
Washington University Experience
|
PERIPHERAL NEUROPATHY
|
1 NORMAL NERVE ANATOMY
|
3 Normal Plastic Sections
|
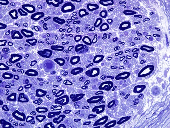
5A3 Nerve, near normal (Case 5) Plastic 5.jpg
Higher magnification of a single fascicle.
Image Info
Camera Maker:
Olympus Corporation
Camera Model:
DP70
Original Time Taken:
16-03-2017
Shutter Speed:
10/213 sec
ISO Sensitivity:
200
Metering Mode:
Spot
Gallery RSS
|
Archive View
|
Login
|
Powered by
Zenphoto