Table of Contents
Washington University Experience | PERIPHERAL NEUROPATHY | 1 NORMAL NERVE ANATOMY | 3 Normal Plastic Sections | 6A1 Nerve, near normal (Case 6) Plastic 6 copy.jpg
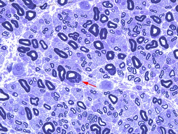
Note the pi granules (arrow) which often suggest pathology even though in most cases they are common and ubiquitous without pathologic significance in biopsies, especially in older patients.
