Table of Contents
Washington University Experience | PERIPHERAL NEUROPATHY | 1 NORMAL NERVE ANATOMY | 3 Normal Plastic Sections | 6A2 Nerve, normal (Case 6) Plastic 100X 1 copy.jpg
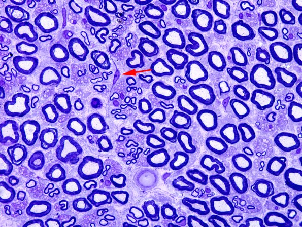
Endoneurial contents include scattered spindled fibroblasts (arrow).
