Table of Contents
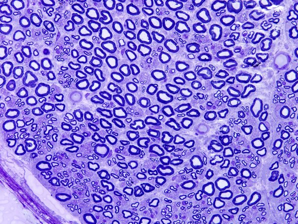
Washington University Experience | PERIPHERAL NEUROPATHY | 1 NORMAL NERVE ANATOMY | 3 Normal Plastic Sections | 6A3 Nerve, normal (Case 6) Plastic 60X 1.jpg
6A3-6 This is a particularly well preserved series of images from this sural nerve biopsy.
