Table of Contents
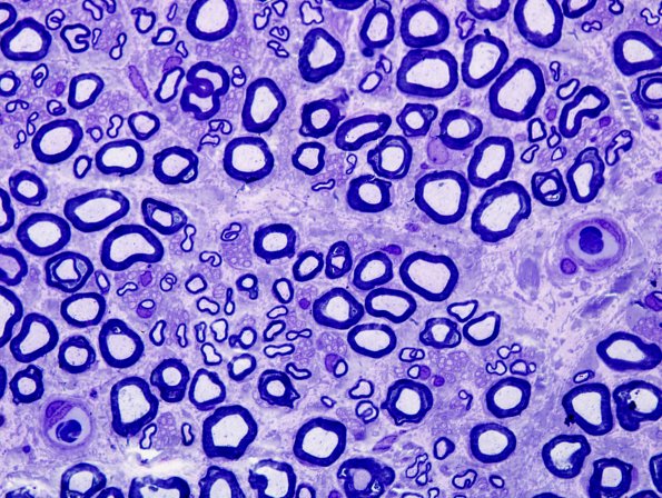
Washington University Experience | PERIPHERAL NEUROPATHY | 1 NORMAL NERVE ANATOMY | 3 Normal Plastic Sections | 6A4 Nerve, normal (Case 6) Plastic 100X 4.jpg
This is a particularly well preserved series of images from this sural nerve biopsy.
