Table of Contents
Washington University Experience | PERIPHERAL NEUROPATHY | 1 NORMAL NERVE ANATOMY | 3 Normal Plastic Sections | 6A7 Remak Bundle, normal (Case 6) Plastic 100X 3 copy.jpg
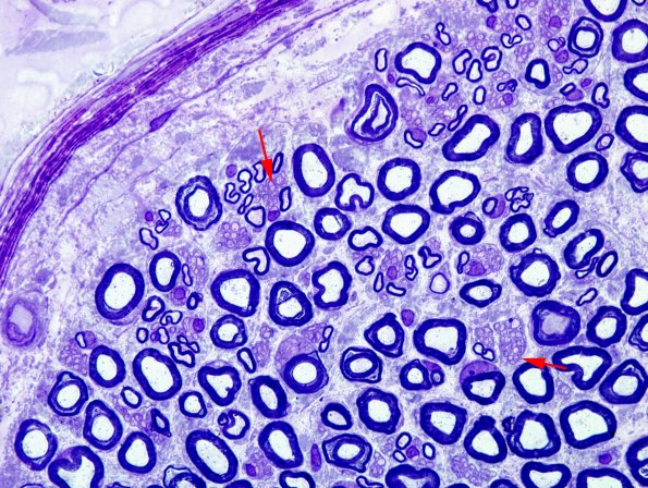
This image shows axon free increased subperineurial space, sometimes called subperineurial edema, a believable result when it is proteinaceous and not an artifactual gap. Also note that unmyelinated axons are arranged in Remak bundles (arrows) in this case. The perineurium is thin, multilayered and without calcifications.
