Table of Contents
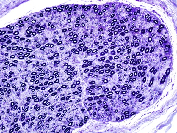
Washington University Experience | PERIPHERAL NEUROPATHY | 1 NORMAL NERVE ANATOMY | 3 Normal Plastic Sections | 7A2 Nerve, normal (Case 7) Plastic 40X
In this series of images the last image includes axons exhibiting myelin wagon-wheels which I have found rare in plastic sections.
