Table of Contents
Washington University Experience | PERIPHERAL NEUROPATHY | 1 NORMAL NERVE ANATOMY | 3 Normal Plastic Sections | 7A3 Nerve, normal (Case 7) Neurokeratin Plastic 11 copy
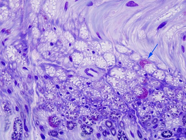
In this series of images the last image includes axons exhibiting myelin wagon-wheels which I have found rare in plastic sections. Also note that cytoplasmic pi granules (arrow) are often metachromatic.
