Table of Contents
Washington University Experience | PERIPHERAL NEUROPATHY | 1 NORMAL NERVE ANATOMY | 3 Normal Plastic Sections | 8A1 Normal sural nerve (Case 8) Plastic 4
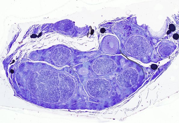
8A1,2 Low magnification images of this sural nerve illustrate its complexity with a dense vasocorona and small epineurial arterioles.
