Table of Contents
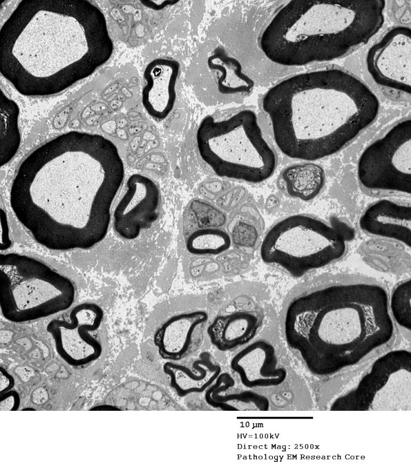
Washington University Experience | PERIPHERAL NEUROPATHY | 1 NORMAL NERVE ANATOMY | 4 Normal Electron Microscopy | 1A5 Normal Nerve (Case 1) new_010A - Copy
1A5,6 This is a node of Ranvier which may be confused with a demyelinated axon. They often show a concentration of subcellular organelles, Schwann cell fingers and thickening and osmophilia of the intranodal axolemma.
