Table of Contents



Washington University Experience | PERIPHERAL NEUROPATHY | 1 NORMAL NERVE ANATOMY | 4 Normal Electron Microscopy | 1A7 Normal Nerve (Case 1)_009 - Copy

1A7 Normal Nerve (Case 1)_009 - Copy
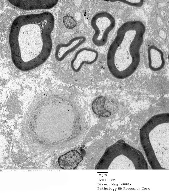
1A7,8 Small vessels in the normal endoneurium.


Gallery RSS RSS Feed | Archive View | Login | Powered by Zenphoto