Table of Contents



Washington University Experience | PERIPHERAL NEUROPATHY | 1 NORMAL NERVE ANATOMY | 4 Normal Electron Microscopy | 1A8 Normal Nerve (Case 1)_010 - Copy

1A8 Normal Nerve (Case 1)_010 - Copy
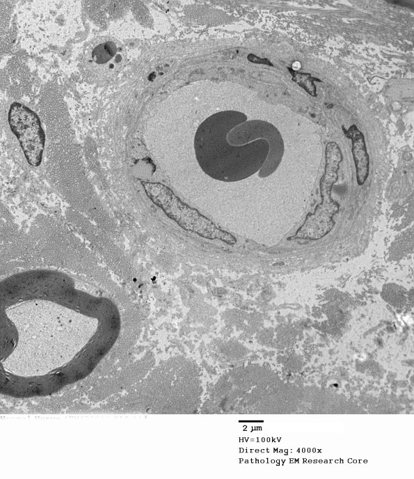
Small vessels in the normal endoneurium.


Gallery RSS RSS Feed | Archive View | Login | Powered by Zenphoto