Table of Contents



Washington University Experience | PERIPHERAL NEUROPATHY | 1 NORMAL NERVE ANATOMY | 4 Normal Electron Microscopy | 3A1 Normal Sural nerve, 3 mo age (Case 3) 015 - Copy

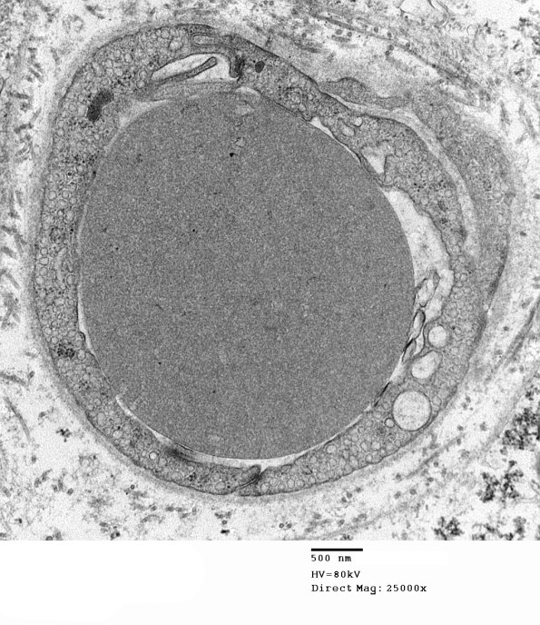
3A1 Normal Sural nerve, 3 mo age (Case 3) 015 - Copy
A capillary with an intravascular red cell.


Gallery RSS RSS Feed | Archive View | Login | Powered by Zenphoto