Table of Contents
Washington University Experience | PERIPHERAL NEUROPATHY | 1 NORMAL NERVE ANATOMY | 4 Normal Electron Microscopy | 3A2 Normal Sural nerve, 3 mo age (Case 3) 014 - Copy
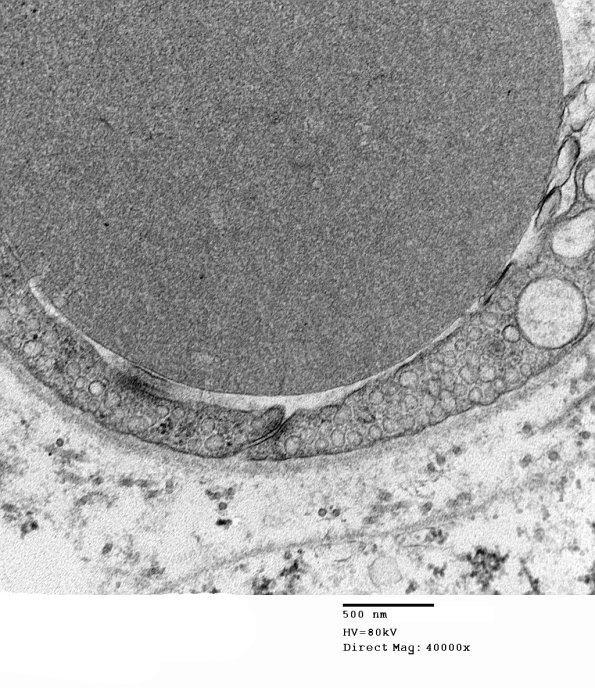
Increased magnification demonstrates a tight junction. Note the increased numbers of endothelial cell micropinocytotic vesicles.
