Table of Contents
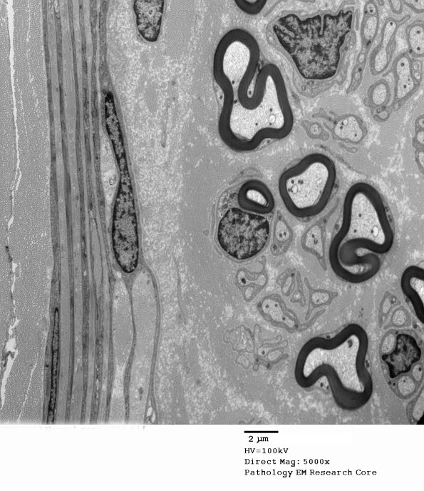
Washington University Experience | PERIPHERAL NEUROPATHY | 1 NORMAL NERVE ANATOMY | 4 Normal Electron Microscopy | 4A1 (Case 4) Normal nerve_012 - Copy
Typically, the perineurium is composed of delicate leaves enclosed by basement membrane and separated by collagen.
