Table of Contents
Washington University Experience | PERIPHERAL NEUROPATHY | 1 NORMAL NERVE ANATOMY | 4 Normal Electron Microscopy | 5A1 (Case 5) 003 - Copy
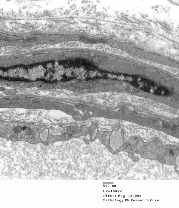
5A1-3 The perineurium as seen at multiple magnifications. The cell to cell junction is well seen in the last image.
