Table of Contents
Washington University Experience | PERIPHERAL NEUROPATHY | 1 NORMAL NERVE ANATOMY | 4 Normal Electron Microscopy | 5A3 (Case 5) 005 - Copy
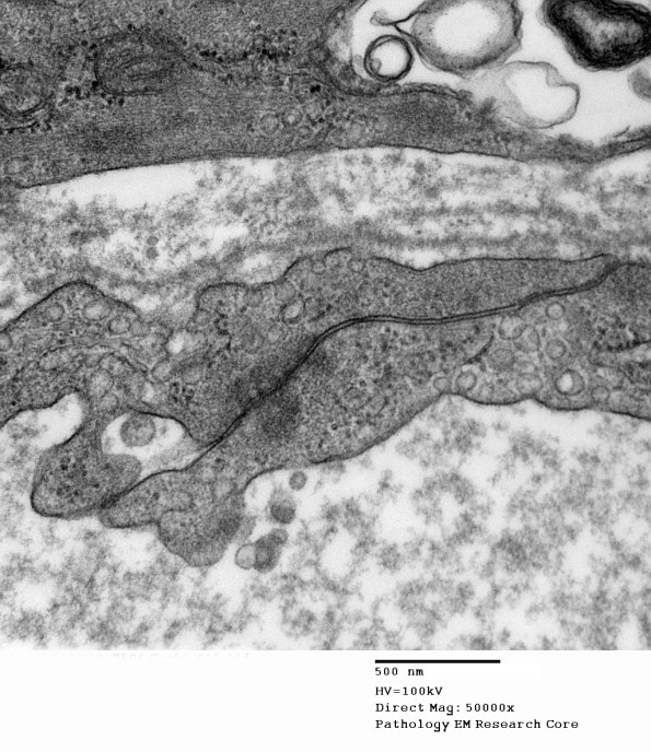
The perineurium as seen at multiple magnifications. The cell to cell junction is well seen in the last image.
