Table of Contents



Washington University Experience | PERIPHERAL NEUROPATHY | 1 NORMAL NERVE ANATOMY | 4 Normal Electron Microscopy | 5A5 (Case 5) 013 - Copy

5A5 (Case 5) 013 - Copy
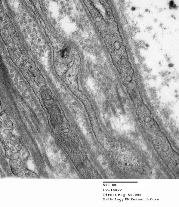
The collagen and basal membranes are particularly well seen.


Gallery RSS RSS Feed | Archive View | Login | Powered by Zenphoto