Table of Contents



Washington University Experience | PERIPHERAL NEUROPATHY | 1 NORMAL NERVE ANATOMY | 4 Normal Electron Microscopy | 5A6 (Case 5) 012 - Copy

5A6 (Case 5) 012 - Copy
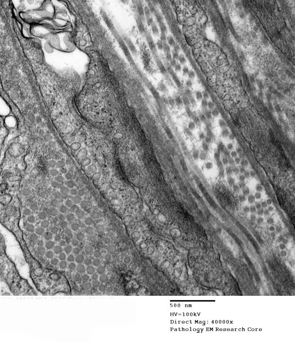
The perineurium shows prominent micropinocytotic vesicles.


Gallery RSS RSS Feed | Archive View | Login | Powered by Zenphoto