Table of Contents



Washington University Experience | PERIPHERAL NEUROPATHY | 1 NORMAL NERVE ANATOMY | 4 Normal Electron Microscopy | 7A2 (Case 7) 005 - Copy A - Copy

7A2 (Case 7) 005 - Copy A - Copy
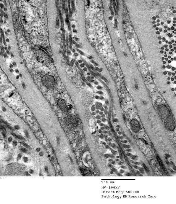
These electron micrographs show a normal perineurium.


Gallery RSS RSS Feed | Archive View | Login | Powered by Zenphoto