Table of Contents
Washington University Experience | PERIPHERAL NEUROPATHY | 1 NORMAL NERVE ANATOMY | 5 Other Normal Endoneurial Cells | 1A1 Fibroblasts (Case 1) EM 002 - Copy
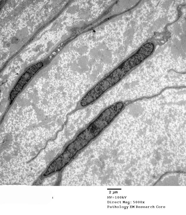
A fibroblast is surrounded by fluffy proteinaceous material which mimics a basal lamina on first glance.
