Table of Contents
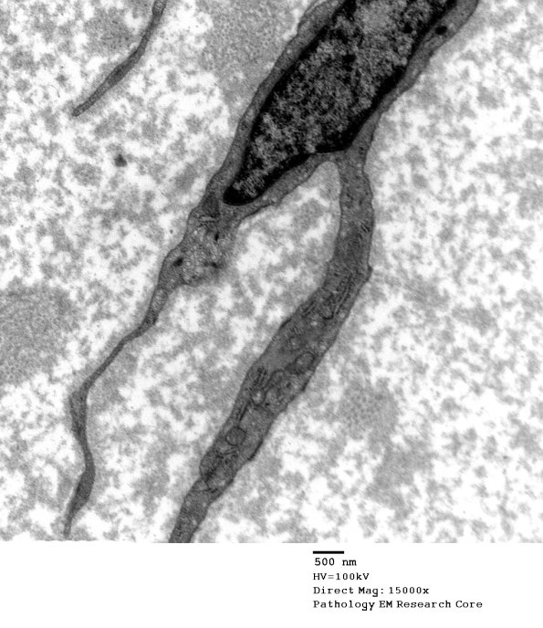
Washington University Experience | PERIPHERAL NEUROPATHY | 1 NORMAL NERVE ANATOMY | 5 Other Normal Endoneurial Cells | 1A2 Fibroblasts (Case 1) EM 003 - Copy
Higher magnification of the cell shown in image #1A1 shows no intrinsic basement membrane.
