Table of Contents
Washington University Experience | PERIPHERAL NEUROPATHY | 1 NORMAL NERVE ANATOMY | 5 Other Normal Endoneurial Cells | 2A2 Mast Cell (Case 2) EM_006 - Copy
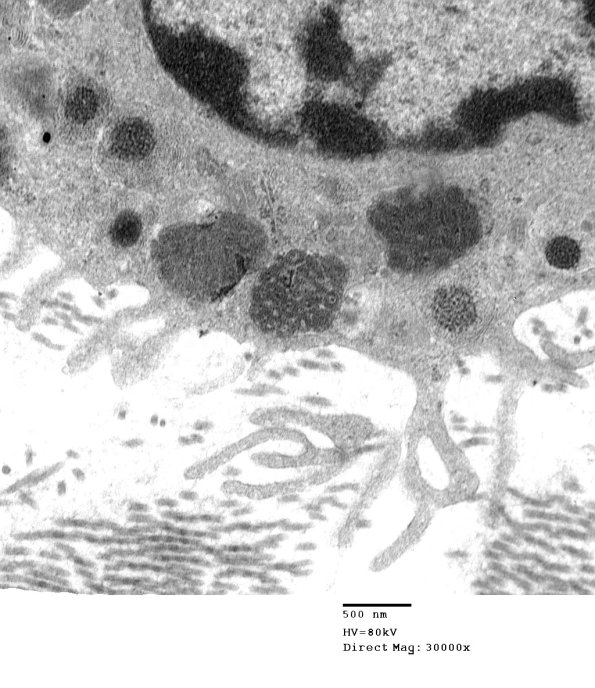
Higher magnification of the cytosomes in image #1E4 shows a complexity of internal structure.
