Table of Contents



Washington University Experience | PERIPHERAL NEUROPATHY | 1 NORMAL NERVE ANATOMY | 5 Other Normal Endoneurial Cells | 3A1 Mast Cell (Case 3) 030 - Copy

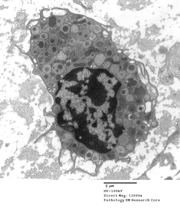
3A1 Mast Cell (Case 3) 030 - Copy
3A1,2 This mast cell differs in subcellular organelle structure.


Gallery RSS RSS Feed | Archive View | Login | Powered by Zenphoto