Table of Contents



Washington University Experience | PERIPHERAL NEUROPATHY | 1 NORMAL NERVE ANATOMY | 5 Other Normal Endoneurial Cells | 3A2 Mast Cell Case 3) 031 - Copy

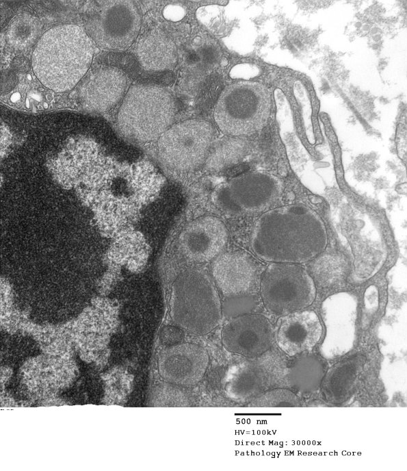
3A2 Mast Cell Case 3) 031 - Copy
This mast cell differs in subcellular organelle structure.


Gallery RSS RSS Feed | Archive View | Login | Powered by Zenphoto