Table of Contents
Washington University Experience | PERIPHERAL NEUROPATHY | 1 NORMAL NERVE ANATOMY | 5 Other Normal Endoneurial Cells | 4A1 Mast Cell, nerve (Case 4) EM 19 - Copy
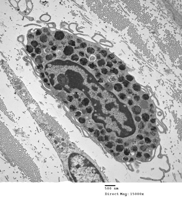
4A1-5 An interesting cytosome “scroll-like” pattern is shown in this mast cell at successively increasing magnification.
