Table of Contents
Washington University Experience | PERIPHERAL NEUROPATHY | 1 NORMAL NERVE ANATOMY | 5 Other Normal Endoneurial Cells | 4A4 Mast Cell, nerve (Case 4) EM 23 - Copy
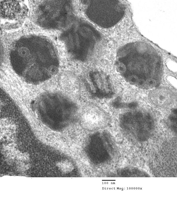
A mast cell and its subcellular granule ultrastructure is shown at various magnifications.
