Table of Contents
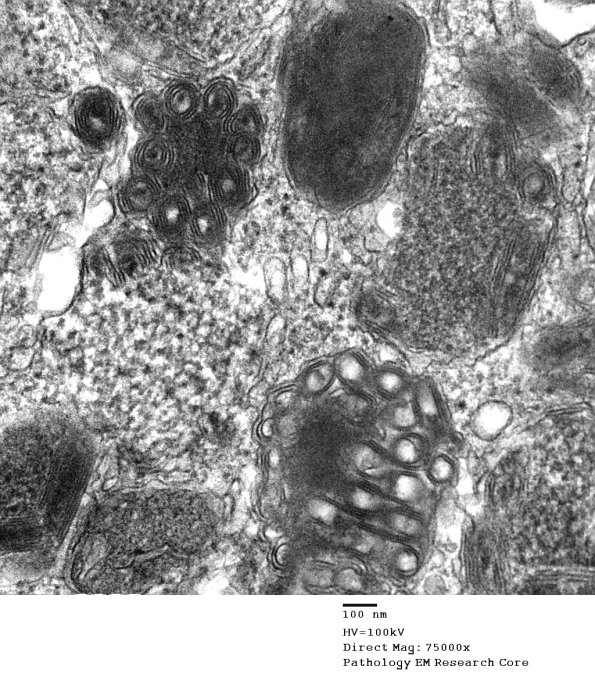
Washington University Experience | PERIPHERAL NEUROPATHY | 1 NORMAL NERVE ANATOMY | 5 Other Normal Endoneurial Cells | 5A3 Mast cell, scrolls (Case 5) 010 - Copy
The same scroll pattern characterizes the granules in another case.
