Table of Contents



Washington University Experience | PERIPHERAL NEUROPATHY | 1 NORMAL NERVE ANATOMY | 5 Other Normal Endoneurial Cells | 5A4 Mast cell (Case 5)_045 - Copy

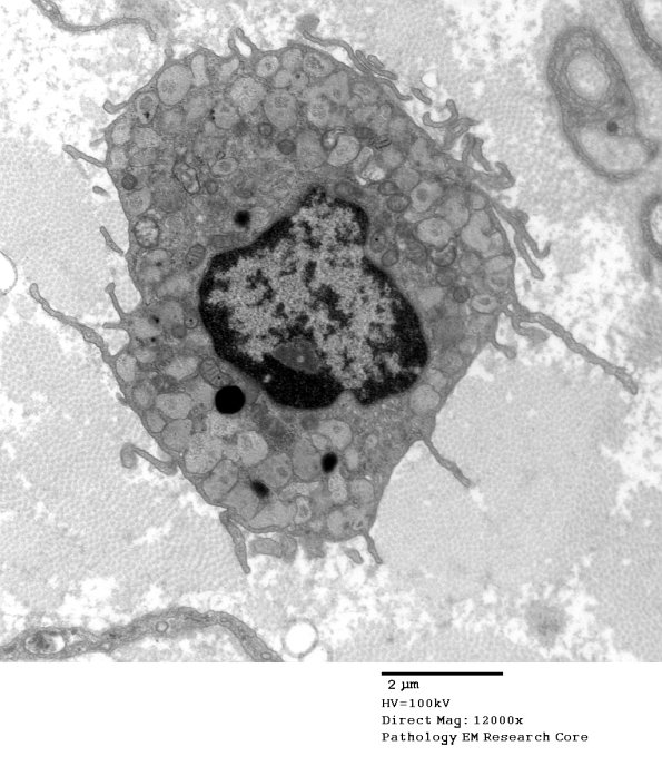
5A4 Mast cell (Case 5)_045 - Copy
A mast cell may have a more homogeneous granule substructure.


Gallery RSS RSS Feed | Archive View | Login | Powered by Zenphoto