Table of Contents
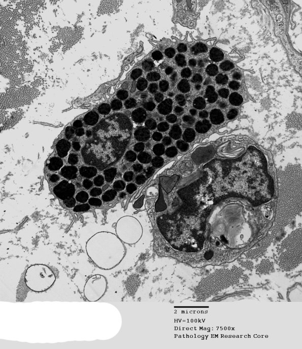
Washington University Experience | PERIPHERAL NEUROPATHY | 1 NORMAL NERVE ANATOMY | 5 Other Normal Endoneurial Cells | 6A1 Axonal Degeneration (Case 6) EM 072 - Copy
6A1-6 Another series of scroll-like inclusions in a mast cell at various magnifications.
