Table of Contents
Washington University Experience | PERIPHERAL NEUROPATHY | 1 NORMAL NERVE ANATOMY | 5 Other Normal Endoneurial Cells | 6A4 Axonal Degeneration (Case 6) EM 075 - Copy
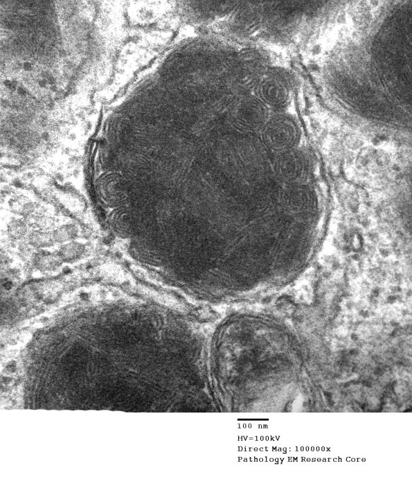
Another series of scroll-like inclusions in a mast cell at various magnifications.
