Table of Contents
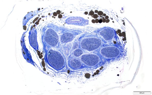
Washington University Experience | PERIPHERAL NEUROPATHY | 1 NORMAL NERVE ANATOMY | 6 Infant Peripheral Nerve | 1A1 Normal Sural nerve, 3 mo age (Case 1) Plastic 10X scale bar
A whole mount image with a scale bar is consistent with a ~1 mm sized nerve measured along its greatest axis. (Toluidine blue stained one micron thick plastic embedded section)
