Table of Contents
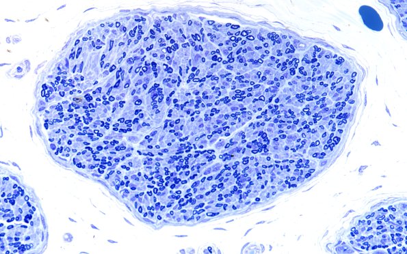
Washington University Experience | PERIPHERAL NEUROPATHY | 1 NORMAL NERVE ANATOMY | 6 Infant Peripheral Nerve | 1A3 Normal Sural nerve, 3 mo age (Case 1) Blk2 Plastic 60X 4
There is a unimodal distribution in the diameter of myelinated axons most consistent with the small (3-4 microns) myelinated axon population of adult nerve. (Toluidine blue-stained one-micron thick plastic-embedded section)
