Table of Contents
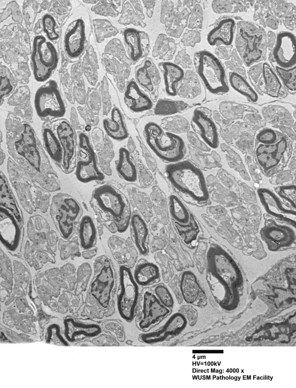
Washington University Experience | PERIPHERAL NEUROPATHY | 1 NORMAL NERVE ANATOMY | 6 Infant Peripheral Nerve | 1B3 (Case 1) EM 003 - Copy
1B3,4 Higher magnification demonstrates that the increased neuropil consists of small non-myelinated axons in copious Schwann cell cytoplasm and some unidentified stromal elements. (electron micrographs)
