Table of Contents
Washington University Experience | PERIPHERAL NEUROPATHY | 1 NORMAL NERVE ANATOMY | 6 Infant Peripheral Nerve | 1B5 (Case 1) EM 020 - Copy copy
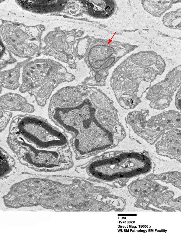
There are numerous axons which will become unmyelinated Remak bundles as well as increased numbers of small thinly myelinated axons (arrow). (electron micrograph)
