Table of Contents
Washington University Experience | PERIPHERAL NEUROPATHY | 1 NORMAL NERVE ANATOMY | 6 Infant Peripheral Nerve | 1B6 (Case 1) EM 016 - Copy copy
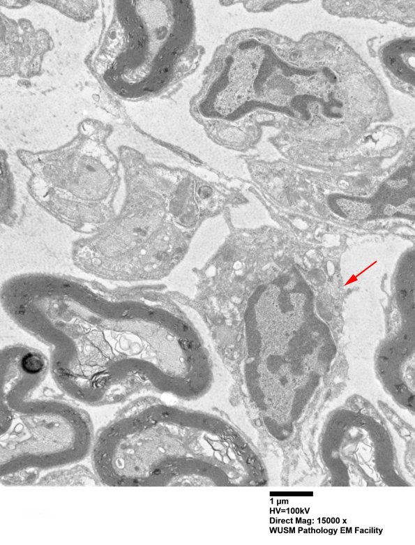
There are numerous relatively undifferentiated cells (arrow) which have the pseudopods of macrophages without autophagic content. (electron micrograph)
