Table of Contents
Washington University Experience | PERIPHERAL NEUROPATHY | 1 NORMAL NERVE ANATOMY | 6 Infant Peripheral Nerve | 1B8 (Case 1) EM 005 - Copy
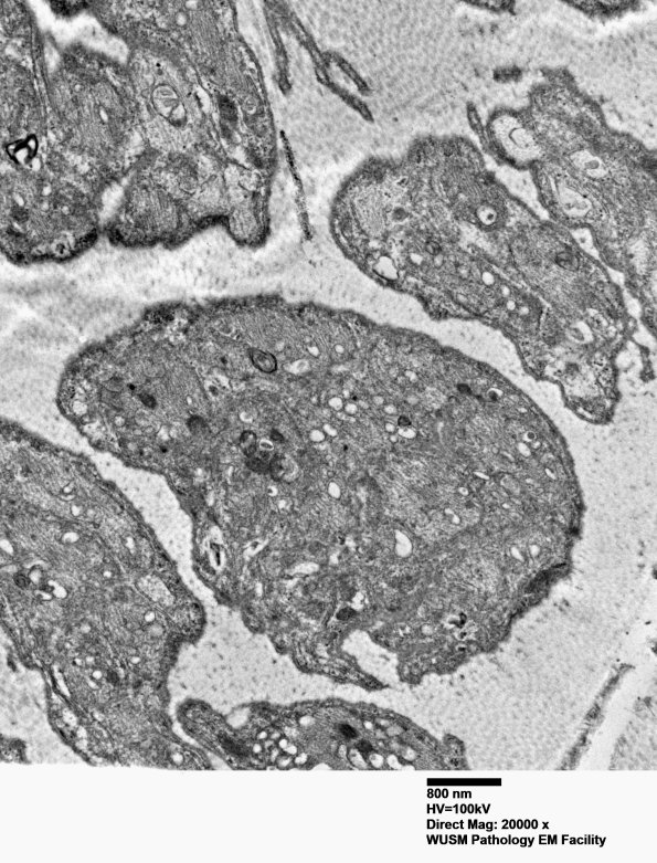
There is a significant amount of organelle rich Schwann cell cytoplasm, complicating recognition of the enclosed axons themselves. (electron micrograph)
