Table of Contents
Washington University Experience | PERIPHERAL NEUROPATHY | 1 NORMAL NERVE ANATOMY | 6 Infant Peripheral Nerve | 1B9 (Case 1) Blk2 EM 030 - Copy
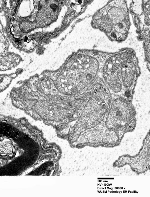
These axons are discernible and, by size, are likely to represent axons destined to become unmyelinated fibers. (electron micrograph)
