Table of Contents
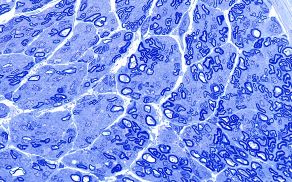
Washington University Experience | PERIPHERAL NEUROPATHY | 1 NORMAL NERVE ANATOMY | 6 Infant Peripheral Nerve | 2A4 Child Sural (Case 2) 9wk old Plastic 100X 2
One micron-thick, toluidine blue stained sections of the plastic embedded biopsy material show fascicles (only one is shown) with hypomyelinated axons, developing bimodal distribution of small and large myelinated axons and patchy large zones without myelinated axons.
