Table of Contents
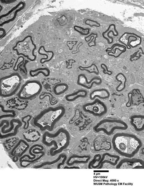
Washington University Experience | PERIPHERAL NEUROPATHY | 1 NORMAL NERVE ANATOMY | 6 Infant Peripheral Nerve | 2B1 W20-132 A (Case 2) tibial_001 - Copy
The myelinated axon population appears to consist of mostly small and scattered large axons. (electron micrograph)
