Table of Contents
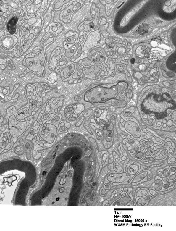
Washington University Experience | PERIPHERAL NEUROPATHY | 1 NORMAL NERVE ANATOMY | 6 Infant Peripheral Nerve | 2B10 W20-132 A (Case 2) tibial_014 - Copy
Additional thinly myelinated developing axons are identified. (electron micrograph)
