Table of Contents
Washington University Experience | PERIPHERAL NEUROPATHY | 1 NORMAL NERVE ANATOMY | 6 Infant Peripheral Nerve | 2B11 W20-132 A (Case 2) tibial_016 - Copy
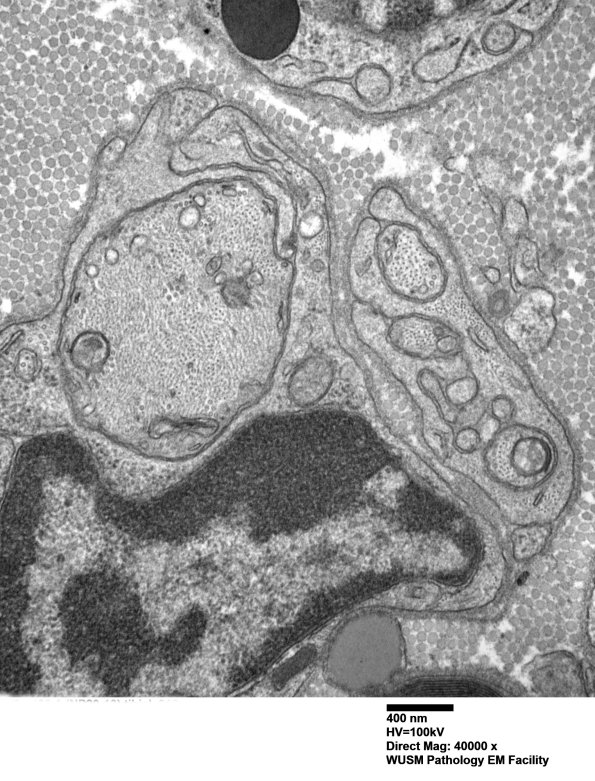
2B11,12 Pre-myelinated and thinly myelinated axons are numerous in this nerve which is developing rather than degenerating with very little debris. (electron micrograph)
