Table of Contents
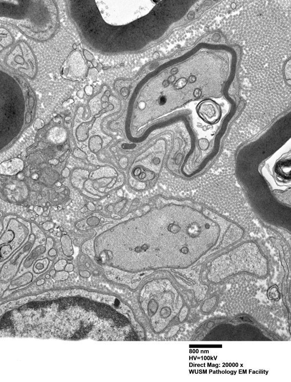
Washington University Experience | PERIPHERAL NEUROPATHY | 1 NORMAL NERVE ANATOMY | 6 Infant Peripheral Nerve | 2B12 W20-132 A (Case 2) tibial_018 - Copy
Pre-myelinated and thinly myelinated axons are numerous in this nerve which is developing rather than degenerating with very little debris. (electron micrograph)
