Table of Contents
Washington University Experience | PERIPHERAL NEUROPATHY | 1 NORMAL NERVE ANATOMY | 6 Infant Peripheral Nerve | 2B2 W20-132 A (Case 2) tibial_003 - Copy copy
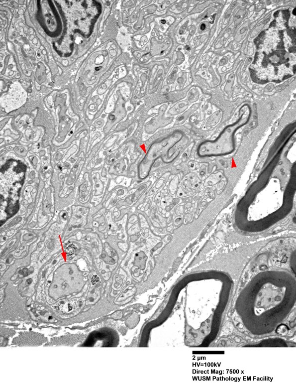
Electron microscopy demonstrates that the patchy zones are composed of Schwann cells, unmyelinated axons and developing thinly myelinated axons (arrowheads) with an axon (arrow) large enough to represent a pre-myelinated axon. (electron micrograph)
