Table of Contents
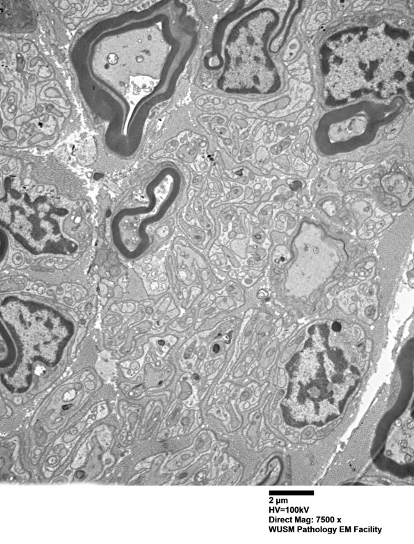
Washington University Experience | PERIPHERAL NEUROPATHY | 1 NORMAL NERVE ANATOMY | 6 Infant Peripheral Nerve | 2B4 W20-132 A (Case 2) tibial_004 - Copy
2B4,5 A second example of an axon undergoing early myelination. (electron micrograph)
