Table of Contents
Washington University Experience | PERIPHERAL NEUROPATHY | 1 NORMAL NERVE ANATOMY | 6 Infant Peripheral Nerve | 2B6 W20-132 A (Case 2) tibial_008 - Copy copy
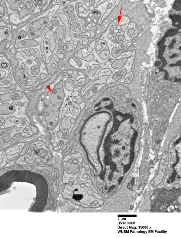
A thinly myelinated axon is adjacent to a pre-myelinated axon (arrowhead) of approximately the same size. There are collections of small axons (arrow) which lie together in a trough of Schwann cell processes. (electron micrograph)
