Table of Contents
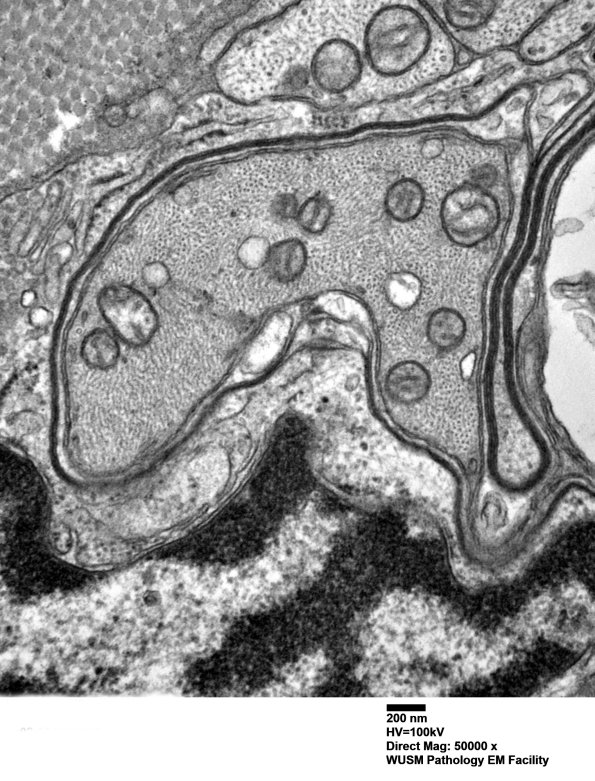
Washington University Experience | PERIPHERAL NEUROPATHY | 1 NORMAL NERVE ANATOMY | 6 Infant Peripheral Nerve | 2B7 W20-132 A (Case 2) tibial_010 - Copy
An early Schwann cell sheath has a delicate myelin surround of only a few turns. (electron micrograph)
