Table of Contents
Washington University Experience | PERIPHERAL NEUROPATHY | 1 NORMAL NERVE ANATOMY | 6 Infant Peripheral Nerve | 2B8 W20-132 A (Case 2) tibial_011 - Copy copy
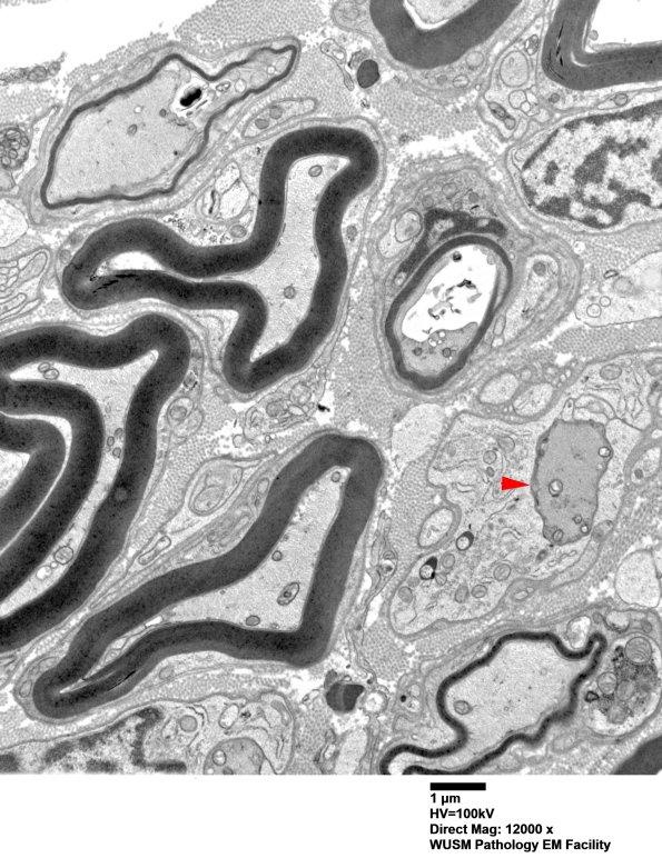
Several axons with thinned myelin sheaths and a pre-myelinated dense axon (arrowhead) are seen. (electron micrograph)
