Table of Contents
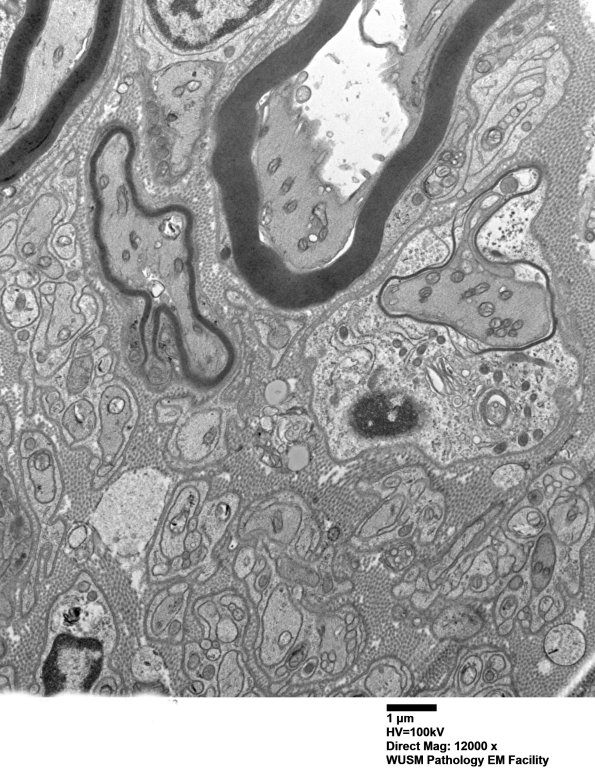
Washington University Experience | PERIPHERAL NEUROPATHY | 1 NORMAL NERVE ANATOMY | 6 Infant Peripheral Nerve | 2B9 W20-132 A (Case 2) tibial_013 - Copy
2B9,10 Additional thinly myelinated developing axons are identified. (electron micrograph)
