Table of Contents
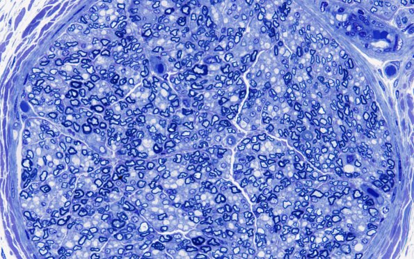
Washington University Experience | PERIPHERAL NEUROPATHY | 1 NORMAL NERVE ANATOMY | 6 Infant Peripheral Nerve | 3A3 Nerve, sural, infant, 4 wk (Case 3) 60XA
Higher magnification of one of the fascicles shown in #3A1. (Plastic section)
